Cardiac Allograft Vasculopathy (VIII)
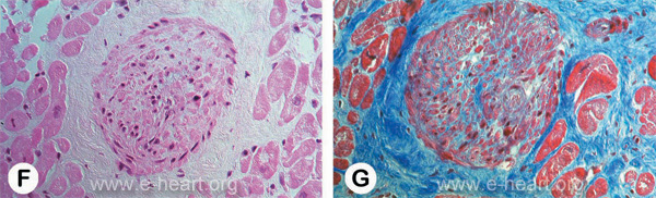
These micrographs show and H&E stained and a Masson trichrome stain of an intramural small coronary arteriole with almost complete narrowing of its lumen.
white neointima. Allograft vasculopathy also affects children receiving heart transplants. In fact it is one of the most common causes of death in the pediatric population. CAV may appear early (within months) or late within years after trasnplant.
Recanalized vessels may represent healed vasculitis with thrombosis. It is not clear whether this necrotizing vasculitis is due to cellular or humoral rejection or a combination of both.

